안녕하세요.
건강정보를 알기 쉽게 전달하기 위하여 포스팅을 하고 있는 봄이네 엄마입니다. 저만 알고 있는 것보다 여러 사람들이 많은 혜택을 나눌 수 있도록 공유하려고 합니다. 어려운 내용보다는 최대한 알기 쉽게 정리하려고 노력하고 있으니까요. 부족하더라고 많은 것을 얻어 가셨으면 좋겠습니다.
그럼 오늘은 사랑니 발치 비용에 대해서 알아보도록 하겠습니다.
1. 사랑니 발치 비용
2.
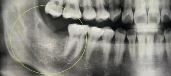
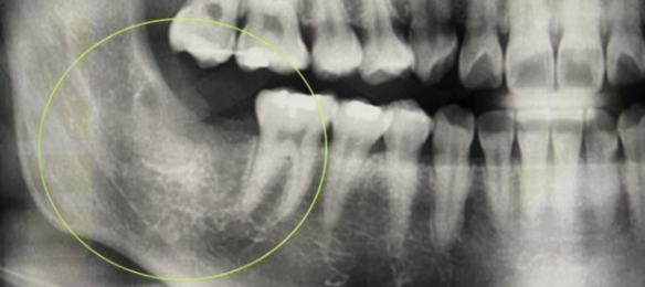
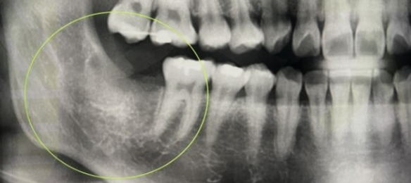
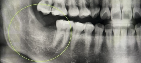
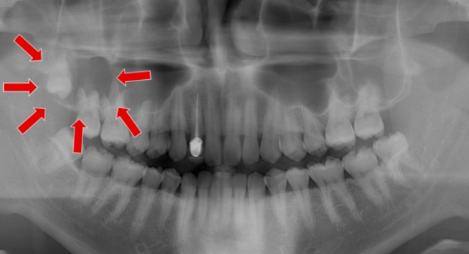
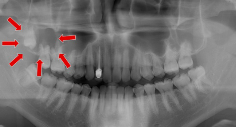
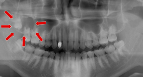
사랑니 발치는 일반 치아와 달리 신경과 가까이 있어 신경 손상 가능성이 있습니다. 하지만, 사랑니 발치를 해야 하는 경우 위험 부담이 있더라도 사랑니를 빼게 됩니다. 제3대구치라고도 불리는 사랑니는 어금니 맨 끝 쪽에 위치하고 있고 맹출 시기는 보통 17~21세 사이로 알려져 있습니다.

구강 내 모든 치열이 완성되고 뒤늦게 자라나는 사랑니는 제대로 맹출 되는 사람도 있지만, 옆으로 누워서 나거나 매복 상태로 통증만 지속되는 경우가 많습니다. 사랑니의 맹출 상태, 관리 방법에 따라 영구치로 유지하는 경우와 발치해야 하는 경우로 나뉩니다.

2022년 사랑니 발치 비용 사랑니 발치는 위치, 맹출 상태, 치아 뿌리 상태에 따라 5가지 형태로 분류되며 사랑니 발치 비용이 달라집니다.

단순 발치 : 13,400원 (2022년 일반 의원급 기준)
쉽게 뺄 수 있는 상태로 맹출 상태가 심플합니다.
난발치 : 19,000원 (2022년 일반 의원급 기준)
뿌리가 휘어있거나, 신경치료되어 유착된 치아를 뽑게 될 경우입니다.
단순 매복 발치 : 20,300 ~ 23,600원 (2022년 일반 의원급 기준)
단순히 잇몸이 덮여져 있는 상태로 간단 절개 후 발치하는 경우입니다.
복잡 매복 발치 :27,900 ~ 29,200원 (2022년 일반 의원급 기준)
잇몸이 덮여져 있는 상태로 치아를 분리 발 거할 경우입니다.
완전 매복 발치 : 36,600 ~ 37,900원 (2022년 일반 의원급 기준)
치아머리 부분이 치조골에 2/3 이상 매복된 상태로 치조골 삭제 및 치아 분할 술을 같이했을 경우입니다.
2022년 사랑니 발치 비용으로 CT 촬영 금액은 포함되어 있지 않습니다.

사랑니 발치 비용은 난이도에 따라 비용이 달라지며 매복이 심한 경우 발치가 불가능하기도 합니다. 난도가 높은 사랑니 발치 시 CT 장비를 갖춘 병원급 or 대학병원에서 발치하길 권장합니다. 사랑니 발치는 무조건 해야 하는 것은 아니며, 제대로 맹출 되었다면 제3대구치로 사용이 가능합니다.

오늘은 2022년 사랑니 발치 비용에 대해 안내해 드렸습니다. 안내해 드린 금액은 의원급 기준이며, 매년 건강보험 진료비가 조금씩 인상됨에 따라, 작년보다 몇백 원 인상된 금액으로 안내해 드렸습니다.(단, 발치 시 행위료에 따라 비용이 조금씩 달라질 수 있다는 점 알아두세요!)
'건강정보' 카테고리의 다른 글
| 치주염 증상 및 치료방법 - 치아관리 꿀팁 (0) | 2022.08.30 |
|---|---|
| 충치 치료 비용 알아보기 (0) | 2022.08.29 |
| 다래끼 원인 및 치료 증상 (0) | 2022.08.26 |
| 치아 미백 누런이 하얗게 하는 방법 꿀팁 (0) | 2022.08.26 |
| 치아 신경치료 통증 (0) | 2022.08.25 |
댓글